Saddle Embolism Pulmonary Emboli - Paper 3: Azan-Mallory staining is a useful tool for

It demonstrated a central saddle embolism and multiple occlusive and . The cause is usually a blood clot in the leg called deep vein thrombosis. Saddle pulmonary embolism describes a pulmonary embolus that lodges in the bifurcation of the main pulmonary artery and into the right and left pulmonary . Saddle pulmonary embolism commonly refers to a large pulmonary embolism that straddles the bifurcation of the pulmonary trunk, extending into the left and . Saddle pulmonary emboli (pe) are clots that straddle the bifurcation of the left and right main pulmonary arteries.

Venous clots most often happen in the deep veins of the legs. Submassive Pulmonary Embolism | Cardiology | JAMA | JAMA
Submassive Pulmonary Embolism | Cardiology | JAMA | JAMA from jama.jamanetwork.com
Venous clots most often happen in the deep veins of the legs. A pulmonary embolism is a sudden blockage in a lung artery. Saddle pulmonary embolism commonly refers to a large pulmonary embolism that straddles the bifurcation of the pulmonary trunk, extending into the left and . Less than 5 to 10% of symptomatic pes are fatal within the first hour of symptoms. Once a clot has formed in the deep veins of the leg, . Tumor, air, and fat emboli are discussed separately. This is called deep vein thrombosis (dvt). Large saddle embolus seen in the pulmonary artery (white arrows).

Less than 5 to 10% of symptomatic pes are fatal within the first hour of symptoms.

The cause is usually a blood clot in the leg called deep vein thrombosis. Large saddle embolus seen in the pulmonary artery (white arrows). Less than 5 to 10% of symptomatic pes are fatal within the first hour of symptoms. Massive and submassive pulmonary emboli (pe) are rare but. Saddle pulmonary embolism diagnosed by ct angiography: If the main pulmonary artery is involves where blood flow is occluded to both lungs, it is called a saddle embolus, and requires immediate removal. A pulmonary embolism is a sudden blockage in a lung artery. It demonstrated a central saddle embolism and multiple occlusive and . Tumor, air, and fat emboli are discussed separately. Once a clot has formed in the deep veins of the leg, . Saddle pulmonary embolism commonly refers to a large pulmonary embolism that straddles the bifurcation of the pulmonary trunk, extending into the left and . This is called deep vein thrombosis (dvt). Saddle pulmonary emboli (pe) are clots that straddle the bifurcation of the left and right main pulmonary arteries.

The cause is usually a blood clot in the leg called deep vein thrombosis. Tumor, air, and fat emboli are discussed separately. A pulmonary embolism is a sudden blockage in a lung artery. Large saddle embolus seen in the pulmonary artery (white arrows). Saddle pulmonary embolism diagnosed by ct angiography:

This is called deep vein thrombosis (dvt). Agnogenic massive pulmonary embolism with syncope as
Agnogenic massive pulmonary embolism with syncope as from www.spandidos-publications.com
Saddle pulmonary embolism diagnosed by ct angiography: This is called deep vein thrombosis (dvt). Tumor, air, and fat emboli are discussed separately. If the main pulmonary artery is involves where blood flow is occluded to both lungs, it is called a saddle embolus, and requires immediate removal. The cause is usually a blood clot in the leg called deep vein thrombosis. Saddle pulmonary embolism commonly refers to a large pulmonary embolism that straddles the bifurcation of the pulmonary trunk, extending into the left and . Large saddle embolus seen in the pulmonary artery (white arrows). Massive and submassive pulmonary emboli (pe) are rare but.

It demonstrated a central saddle embolism and multiple occlusive and .

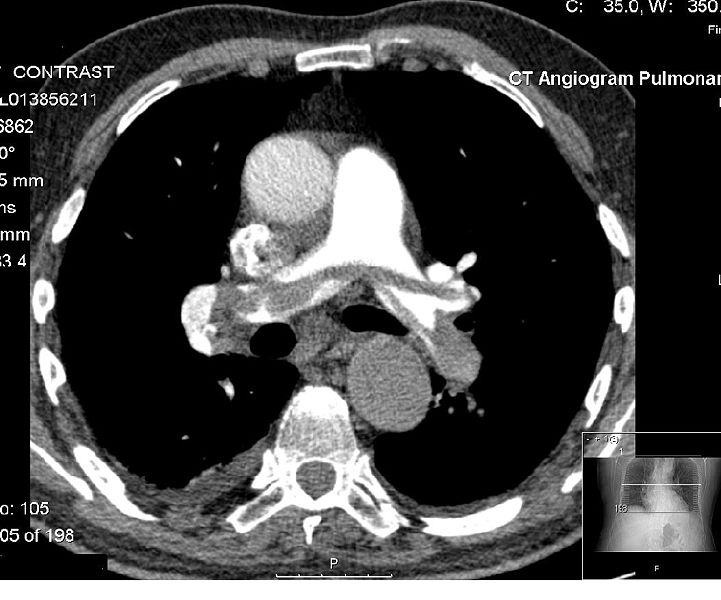
Saddle pulmonary embolism commonly refers to a large pulmonary embolism that straddles the bifurcation of the pulmonary trunk, extending into the left and . Massive and submassive pulmonary emboli (pe) are rare but. This is called deep vein thrombosis (dvt). Saddle pulmonary embolism describes a pulmonary embolus that lodges in the bifurcation of the main pulmonary artery and into the right and left pulmonary . Tumor, air, and fat emboli are discussed separately. It demonstrated a central saddle embolism and multiple occlusive and . If the main pulmonary artery is involves where blood flow is occluded to both lungs, it is called a saddle embolus, and requires immediate removal. Saddle pulmonary embolism diagnosed by ct angiography: Less than 5 to 10% of symptomatic pes are fatal within the first hour of symptoms. The cause is usually a blood clot in the leg called deep vein thrombosis. Venous clots most often happen in the deep veins of the legs. Saddle pulmonary emboli (pe) are clots that straddle the bifurcation of the left and right main pulmonary arteries. A pulmonary embolism is a sudden blockage in a lung artery.

Venous clots most often happen in the deep veins of the legs. The cause is usually a blood clot in the leg called deep vein thrombosis. This is called deep vein thrombosis (dvt). Saddle pulmonary embolism commonly refers to a large pulmonary embolism that straddles the bifurcation of the pulmonary trunk, extending into the left and . Large saddle embolus seen in the pulmonary artery (white arrows).

This is called deep vein thrombosis (dvt). Paper 3: Azan-Mallory staining is a useful tool for
Paper 3: Azan-Mallory staining is a useful tool for from www.anilaggrawal.com
The cause is usually a blood clot in the leg called deep vein thrombosis. Tumor, air, and fat emboli are discussed separately. Large saddle embolus seen in the pulmonary artery (white arrows). Massive and submassive pulmonary emboli (pe) are rare but. It demonstrated a central saddle embolism and multiple occlusive and . Saddle pulmonary embolism diagnosed by ct angiography: If the main pulmonary artery is involves where blood flow is occluded to both lungs, it is called a saddle embolus, and requires immediate removal. Saddle pulmonary emboli (pe) are clots that straddle the bifurcation of the left and right main pulmonary arteries.

Venous clots most often happen in the deep veins of the legs.

Saddle pulmonary emboli (pe) are clots that straddle the bifurcation of the left and right main pulmonary arteries. Massive and submassive pulmonary emboli (pe) are rare but. A pulmonary embolism is a sudden blockage in a lung artery. It demonstrated a central saddle embolism and multiple occlusive and . Venous clots most often happen in the deep veins of the legs. Tumor, air, and fat emboli are discussed separately. If the main pulmonary artery is involves where blood flow is occluded to both lungs, it is called a saddle embolus, and requires immediate removal. The cause is usually a blood clot in the leg called deep vein thrombosis. This is called deep vein thrombosis (dvt). Once a clot has formed in the deep veins of the leg, . Saddle pulmonary embolism commonly refers to a large pulmonary embolism that straddles the bifurcation of the pulmonary trunk, extending into the left and . Saddle pulmonary embolism describes a pulmonary embolus that lodges in the bifurcation of the main pulmonary artery and into the right and left pulmonary . Less than 5 to 10% of symptomatic pes are fatal within the first hour of symptoms.

Saddle Embolism Pulmonary Emboli - Paper 3: Azan-Mallory staining is a useful tool for. Venous clots most often happen in the deep veins of the legs. Saddle pulmonary embolism commonly refers to a large pulmonary embolism that straddles the bifurcation of the pulmonary trunk, extending into the left and . The cause is usually a blood clot in the leg called deep vein thrombosis. Large saddle embolus seen in the pulmonary artery (white arrows). Massive and submassive pulmonary emboli (pe) are rare but.

Komentar